近日,我院心內科團隊成功救治一例右位心(俗稱“鏡面人”)合并急性心肌梗死的高齡危重患者。
俞老先生今年92歲,是一名參加過抗日戰爭、抗美援朝的老紅軍,有高血壓、糖尿病、高血脂病史30余年。這20天來,俞老先生常感到胸口悶堵,稍活動一下就氣喘吁吁,夜里需半臥位睡覺。經人介紹,他來到我院心內科就診。檢查后,醫生發現俞老先生肌鈣蛋白和腦鈉肽極高,是急性心肌梗死表現,于是立馬安排俞老先生收住心內科重癥監護病房治療。
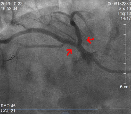
入院第二天,心內科柴大軍主任醫師為核心的介入團隊為俞老先生進行了評估。此時俞老先生已可平臥,柴大軍主任醫師當機立斷為其行經皮冠狀動脈介入治療(PCI)。冠狀動脈造影顯示,俞老先生是極其罕見的右位心合并疑難的左主干分叉病變。

術前冠狀動脈造影顯示:鏡像右位心、前降支和回旋支開口處嚴重病變
面對這樣高危、復雜、罕見病例,有的人會知難而退,向困難屈服,但附一的心內人不會!直面困難,創造條件,迎難而上,臺上1小時,三千六百秒,心肌梗死的病人病情每一秒瞬息萬變,分秒必爭。
柴大軍主任醫師帶領心內科介入團隊通過精準的導管操作,成功為俞老先生完成了左主干分叉病變雙支架治療(術式:DK-CRUSH)。術后第三天,俞老先生再沒有感覺胸悶、氣喘,可以遷入普通病房進行康復治療。

術后冠狀動脈造影顯示:前降支和回旋支開口處病變解除
隨著我國進入老齡化社會,未來CHIP病例(即復雜、高危、有介入指征的患者)在心內科介入手術比例中將大幅提高。雖然CHIP病例介入手術難度較高,但成功手術可使患者獲得立竿見影的效果。俞老先生就屬于一例典型的CHIP病人。這樣類似的病例,我院心內科介入團隊每年可完成300余例。
今年以來,在胸痛中心、腦卒中中心的基礎上,我院已陸續成立房顫中心、高血壓中心、心臟康復中心。心內科介入團隊由多名優秀中青年骨干醫師組成,介入團隊可聯合心臟外科、血管外科,在主動脈球囊反搏(IABP)、連續性腎臟替代治療(CRRT)、血管內超聲(IVUS)等先進設備支持下,開展冠心病、先天性心臟病、難治性高血壓的各類介入診療。
心內科 蔡瀚