在福建醫科大學附屬第一醫院里有這么一群白衣戰士,他們平日不茍言笑,腳步匆忙,心里卻時刻想著如何為病人解除病痛。他們的角色千變萬化,時而變成“鄰家大哥”,耐心地向患者及家屬解釋各種病情;時而變成“解毒圣手”,及時將患友的各種危機化險為夷;但更多時候,他們是一支“拆彈部隊”,拆除各種“人體炸彈”!他們就是“拆彈專家”——李旭主任帶領的附一胸外科團隊!
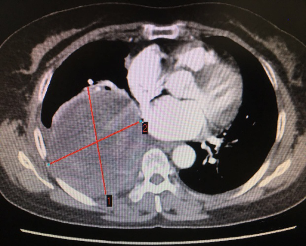
近日,我院胸外科主任李旭手術團隊收治一名來自泉港區的患者陳阿姨。據陳阿姨述說,其平時在家務農,反復氣促多年,因無其他特殊癥狀,以為是人到老年的正常現象。近段時間以來,陳阿姨的氣促越發嚴重,在家屬的催促下,她才到當地醫院進行胸部CT檢查。檢查顯示,陳阿姨右肺下葉巨大占位性病變,近十公分,當地醫生考慮可能是惡性腫瘤。患者及家屬大吃一驚,心中十分焦急,后悔沒有早些在意。因當地醫療條件有限,醫生建議往上級醫院進一步檢查治療。陳阿姨一家回家后便四處求醫,輾轉打聽到附一胸外科有位省內知名的“拆彈專家”,對此類巨型腫瘤很有經驗,隨即慕名前往福建醫科大學附屬第一醫院找到胸外科李旭主任,尋求進一步手術方案。


患者CT影像 (標記處為腫瘤)
李旭主任仔細為患者查體,經過嚴密的病情分析后,考慮腫瘤巨大,侵犯心包和下肺組織,決定先行肺穿刺,排除其他惡性腫瘤。最終穿刺病理顯示,陳阿姨患的是神經鞘瘤,這讓李主任松了一口氣:“還有手術的機會!”。
經過精心的術前準備,手術正式開始,麻醉—消毒—開胸探查……進入胸腔那一刻,一顆巨大的“炸彈”赫然出現在手術團隊的視野中。術后邱明鏈副主任醫師談起這個手術,還心有余悸。他回憶道:“雖然預料到了腫瘤會很大,但沒想到,腫瘤已經占據了整個胸腔,且侵犯右下肺葉,并與血管粘連,手術難度高,風險極大。手術時,雖然每一步的動作都經過精心設計,卻仍是驚心動魄。”手術團隊根據術中時時情況,當機立斷決定將右下肺葉一起切除。在分離近脊柱位置的腫瘤時,患者出血瞬間達1000ml,團隊反應迅速,壓迫出血部位,輸上之前備好的血,再次探查出血部位,最終經過一個半小時的“浴血”奮戰,成功為患者切除了直徑為11cm的右肺下葉及縱膈巨大腫瘤。患者于術后四天拔除胸腔閉式引流管,術后七天成功出院。


術后病理
出院時,陳阿姨緊握李旭主任的雙手,感慨道:“您真是名副其實的‘拆彈’專家,我這回真的叫‘壓在胸口那塊巨石給放下了’,真的謝謝你!”
李主任謙虛一笑:“過獎了,我們只是做了一名外科醫生應該做的,我們的工作就是保障你們的健康,同時也要感謝你們的信任,讓我們沒有后顧之憂,才能心無旁騖的進行挑戰,阿姨你回家要好好休息。”溫馨的一幕也感染了周圍的患友。
胸外科 陳姚平、劉波