近日,我院神經內科介入團隊成功開展“經橈動脈穿刺行全腦血管造影術”。
56歲的劉先生(化名)因缺血性卒中(俗稱“腦梗死”)入住我院神經內科,為完善相關血管評估,查找病因,醫生建議進行腦血管造影術檢查,而劉先生因各種考慮遲遲無法作出決定。在神經內科副主任方玲的耐心解釋下,劉先生了解到腦血管造影是腦血管疾病診斷的金標準,且造影術可以經過手臂穿刺,像做CTA打針那樣完成腦血管造影評估,劉先生這才欣然同意了此項檢查。術中劉先生表示未感到任何不適,術后也可以隨時下地活動。

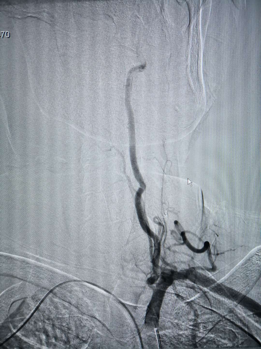
置入造影導管后相關血管造影圖,所選擇的血管清晰可見
目前我院已成功完成6例經橈動脈穿刺行全腦血管造影術。該項技術使用細針,采用Seldinger技術(經皮穿刺技術)經橈動脈穿刺成功后置入5F動脈鞘管,并利用特殊造影導管完成相關血管造影。該項技術不僅能減輕患者術中的痛苦和術后穿刺點血腫的發生,且術后患肢無需嚴格制動,也無需嚴格臥床,可避免患者長時間臥床后腰酸背痛及無法在床上小便的煩惱,深受到患者好評。

經動脈鞘管置入造影導管行造影術 經橈動脈穿刺置入動脈鞘管 術后:使用小巧的橈動脈壓迫器壓迫固定橈動脈
神經內科(供稿)